Yes, laser dentistry is safe when performed by trained professionals. The laser precisely targets the treatment area, minimizing damage to surrounding tissues and reducing the risk of infection.
MSDH is Nepal’s first fully equipped digital dentistry hospital, offering advanced dental services that meet global standards. As pioneers in advanced dental care, We provide the latest technology and innovative treatments to deliver the best dental services in Nepal, ensuring precise and reliable results for all your dental needs.
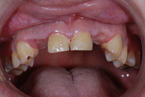
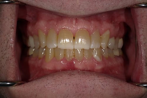
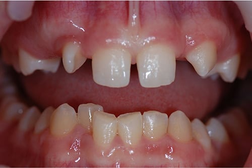
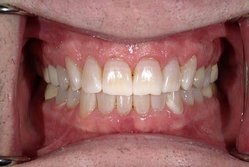
At MSDH, our advanced CEREC Chairside CAD/CAM technology allows you to get crowns, implants, and bridges in just one day, reducing both your treatment time and expenses.
Our laser dentistry services offer a minimally invasive approach, ensuring quicker recovery and enhanced comfort.
MSDH provides comprehensive dental care led by highly experienced specialized dentists, ensuring excellent dental services for all patients. From routine check-ups to advanced treatments, we are committed to delivering exceptional dental care solutions to your needs.
MSDH offers 24-hour dental health care services, ensuring our patients receive the care they need at any time. We prioritize patient education by providing informative counseling sessions and making our patients aware of their dental issues and precise treatment options.
At MSDH, the top dental hospital in Kathmandu, we make no compromises; we have elevated dental care to the next level by building our service from its core. With a belief in providing the best dental care, we are equipped with world-class branded technologies like laser dentistry, intraoral cameras, 3D CBCT, and other digital dentistry tools such as Digital X-rays (RVG), computer-aided implant dentistry & crown manufacturing (CAD-CAM), and intraoral scanners with 3D printers to ensure precision with no room for errors. With over a decade of providing top-notch dental treatment, patients can fully trust the services at Multi-Specialist Dental Hospital, where highly experienced dental specialists deliver affordable and reliable care in Nepal. With well-organized infrastructure, 24-hour dental health services, and comprehensive patient education, our patients remain our biggest asset.
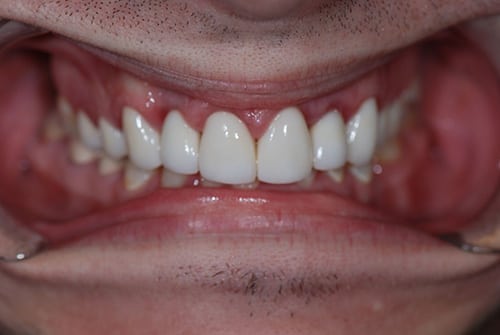
Are stains affecting your smile? Laser teeth whitening is an effective solution that can significantly brighten your teeth and enhance your overall appearance. It’s quick, safe, and delivers noticeable results in just one session. Book your appointment today.
Try aligners at MSDH for a discreet and effective way to straighten your teeth.
Are you visiting Nepal? Get high-quality dental care at MSDH, a trusted name in advanced dentistry. We offer single-visit laser RCT, laser dentistry, digital dental solutions, and treatment from multi-specialist doctors. Ensure your dental health is in expert hands while enjoying your stay.
Signs you may need a root canal: Severe tooth painSensitivity to hot & coldSwollen gumsTooth discolorationAbscess or pus on gumsExperience a quick, precise, and pain-free solution with advanced laser technology at MSDH!
Experience the next level of dental care with laser dentistry at Multi-Specialist Dental Hospital (MSDH), the first in Nepal to offer a complete digital and laser dentistry service. Combining computer-based tools with the precision of laser technology, MSDH delivers minimally invasive treatments that enhance patient comfort and ensure high accuracy. From soft-tissue procedures to cavity treatments and teeth whitening, our modern setup provides faster, reliable results for all ages. Backed by trusted global brands like Dentsply Sirona and 3M, MSDH leads in providing top-quality, efficient care for dental tourists, professionals, and families alike.
As the name suggests, Multi-Specialist Dental Hospital focuses on providing specialized dental care to our patients. We offer services ranging from diagnosis Oral Radiology-CBCT, 3D Diagnosis & Treatment Planning using intraoral camera and intraoral scanner, Clear Aligners & invisible Braces, Computer Guided Dental Implant, Crown & Bridge, Digitally manufactured Complete and partial Dentures, laminates and veneers, Maxillofacial Prosthesis Teeth fillings & Computer-aided operating microscope guided RCT, Least traumatic and Guided Surgical Extractions and Maxillofacial Surgery, Craniofacial Deformities management including Orthognathic Surgery with 3D Digital Planning only, Tooth Cleaning & laser tooth Whitening, Painless Pediatric Care under Conscious sedation along with All kinds of Oral facial problems.
Dental Treatments can get expensive in most countries. Patients in different countries lookout for affordable dental treatment in other countries. It is where MSDH comes into the top count with our affordable dental treatment alternative but aided with complete digital dentistry solutions. This adds on precision in our treatment with global treatment accuracy. It enables us to make it time-efficient for patients looking for a short and affordable Dental tourism trip to Nepal.
What is laser dentistry?
A: Laser dentistry is a modern technique that uses focused light beams to treat various dental conditions. This technology allows for precise, painless, and minimally invasive procedures, offering numerous benefits over traditional methods.
Why should I choose laser dentistry over traditional methods?
A: Laser dentistry offers several advantages, including reduced need for anesthesia, no sutures, faster healing times, minimal bleeding, and less postoperative discomfort. It’s particularly beneficial for patients anxious about dental procedures or with conditions like diabetes.
Who performs laser dentistry in Nepal?
A: MSDH is the pioneer in laser dentistry in Nepal, and our team of experts brings extensive experience and expertise to the practice.
Is laser dentistry safe?
Yes, laser dentistry is safe when performed by trained professionals. The laser precisely targets the treatment area, minimizing damage to surrounding tissues and reducing the risk of infection.
How does laser treatment work for gum infections?
A: Laser treatment effectively targets and eliminates bacteria causing gum infections. It also promotes faster healing and healthier gums without invasive surgery.
Can laser treatment help with tooth bleaching?
A: Yes, laser treatment can be used for tooth bleaching without the need for harsh chemicals. This method is safer and gentler on your teeth, providing excellent whitening results.
What are the benefits of laser-assisted root canal therapy (RCT)?
A: Laser-assisted RCT ensures 100% sterility, significantly reduces pain and promotes faster healing. It also encourages bone regrowth after bone loss, providing a more comprehensive solution.
How does laser dentistry benefit diabetic patients?
A: Diabetic patients often face complications due to blood loss and slow healing. Laser dentistry minimizes bleeding, promotes faster healing, and reduces the risk of infection, making it an ideal option for diabetic patients.
Can laser dentistry be used for cosmetic procedures like removing dark pigments from gums?
A: Yes, laser treatment can effectively remove melanin pigments from gums, improving their appearance. It can also be used in combination with scaling to enhance overall gum health.
How does Laser Dentistry provide instant relief to pain?
A: Laser dentistry is based on photobiomodulation, which is a process that uses laser light to promote tissue healing and pain relief. It’s especially useful in reducing inflammation and accelerating recovery after dental procedures.
Will I need anesthesia for laser dental treatments?
A: Many laser dental treatments do not require anesthesia, as they are minimally invasive and cause little to no discomfort. This makes the procedures faster and more comfortable for patients.
What should I expect after a laser dental procedure?
A: After a laser dental procedure, you can expect minimal swelling and discomfort, with most patients experiencing faster healing times compared to traditional methods. You can typically resume normal activities shortly after treatment.
Lorem ipsum dolor sit amet, consectetur adipiscing elit. Ut elit tellus, luctus nec ullamcorper mattis, pulvinar dapibus leo.
Lorem ipsum dolor sit amet, consectetur adipiscing elit. Ut elit tellus, luctus nec ullamcorper mattis, pulvinar dapibus leo.
Lorem ipsum dolor sit amet, consectetur adipiscing elit. Ut elit tellus, luctus nec ullamcorper mattis, pulvinar dapibus leo.
Excellent Service, Doctors and Cooperative Staff Members. Highly Specialized Dental Facility with high standard equipment and would like to recommend everyone to visit it.
One of the best dental hospital so far. I am completely satisfied with the price and service. ☺️
The MSDH- service, treatment, behaviour, everything is so nice. For us ( pasent), they provide very comfortable environment.
Very good dental hospital, affordable, cosy, reliable health service available! I am touched by their sincerety!
Thank you, Multi-Specialist Dental Hospital and Dr. Sweta for your amazing dental service.
Best dental hospital in the kathmandu valley 👏🙏 Very nice service provided there… please without any hesitation one can get satisfactory dental treatment there…. Friendly environment 👏✊ …